what is the next step in management of this ANCA positive microscopic polyangiitis with both renal and pulmonary involvement.
freecme000
Published on Feb 21, 2022
CC - A 52-yr-old Hispanic man is found to have rising antineutrophil cytoplasmic autoantibody (ANCA)
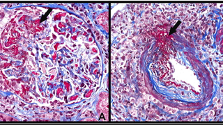
HPI- A 52-yr-old Hispanic man was found to have antineutrophil cytoplasmic autoantibody (ANCA)– associated microscopic polyangiitis with both renal and pulmonary involvement. He is treated with oral prednisone and cyclophosphamide. The prednisone is tapered and discontinued after 4 mo, and azathioprine is substituted for cyclophosphamide at 6 mo. His initial serum creatinine was 4.1 mg/dl, and it decreased to a nadir of 1.0 mg/dl after 6 mo of therapy. UA shows resolution of microscopic hematuria and proteinuria. He is now seen for a follow-up examination 2 yr after the initial diagnosis. He is asymptomatic.
CURRENT MEDS - 100 mg of azathioprine daily (maintenance), 15 mg of enalapril daily.
EXAM - His BP is 130/80 mmHg. Physical examination is normal.
LABS - Urinalysis reveals 4 to 5 erythrocytes per high power field, and no proteinuria. The serum creatinine is still 1.0 mg/dl. The erythrocyte sedimentation rate is 20 mm/h (Westergren method). An ANCA test performed 1 wk ago was significantly positive with a titer of 1:128. Previous values have been intermittently positive at low titer.
NEXT STEP IN MANAGEMNET OF PATIENT?
A. Reinstitute cyclophosphamide at 2.0 mg/kg per day; stop azathioprine.
B. Reinstitute cyclophosphamide at 1.0 mg/kg per day; stop azathioprine
C. Continue azathioprine; observe carefully.
D. Discontinue azathioprine; begin mycophenolate mofetil at 1.0 gm twice daily
CLICK ON LINK BELOW FOR ANSWER
https://renal.medcase.com/free_cme/what-is-the-next-step-in-management-of-this-anca-positive-microscopic-polyangiitis-with-both-renal-and-pulmonary-involvement/
- Your Subscription
freecme000 -
Share Case Quiz
Add to
Flag Case Quiz
Rate case quiz
Rate case quiz
Up next
Recommended
-
Watch Later
38 year old athelete with hyponatremia, Chest tightness, SOB and cough.
323 views 1463 days ago -
Watch Later
22 year old lady with muscle weakness, renal insufficiency and proteinuria
341 views 1236 days ago
