Media Library
Recent Case Quizzes
-
Watch Later
22 year old lady with muscle weakness, renal insufficiency and proteinuria
freecme000340 views 1236 days ago -
Watch Later
45 year old male with eye pain, blurred vision, renal insufficiency and proteinuria
renalfellow1323 views 1236 days ago -
Watch Later
35-year-old lady presents with AGMA, AMS, Dizziness, Ataxia, Slurred Speech.
powernephron455 views 1247 days ago -
Watch Later
55-year-old lady with ASA poisoning, dyspnea and altered mental status.
freecme000378 views 1300 days ago -
Watch Later
55-year-old male with post renal transplant with worsening renal function, HTN and gout attacks.
freecme000260 views 1458 days ago -
Watch Later
38 year old athelete with hyponatremia, Chest tightness, SOB and cough.
freecme000322 views 1463 days ago -
Watch Later
A 55-year-old male with PBC(primary biliary cirrhosis) and non gap metabolic acidosis
freecme000310 views 1528 days ago -
Watch Later
what is the next step in management of this ANCA positive microscopic polyangiitis with both renal and pulmonary involvement.
freecme000234 views 1530 days ago -
Watch Later
77-year-old male with HTN & recent TIA has AKI & hyperkalemia
freecme000409 views 1531 days ago -
Watch Later
78 year old male with metastatic myeloma presenting with AMS , polyuria and neutropenic fever.
freecme000307 views 1540 days ago -
Watch Later
77-year-old man with a type 2 DM presents with worsening renal function and proteinuria
freecme000372 views 1541 days ago -
Watch Later
Diabetes patient with AKI, right flank pain and gross hematuria.
medcases00291 views 1546 days ago -
Watch Later
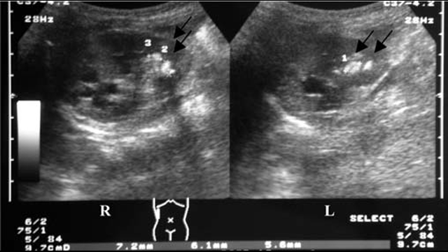
Multiple-bilateral-renal-calculi and medullary-nephrocalcinosis
medcases00534 views 1633 days ago -
Watch Later
48-year-old man presents with acute onset right flank pain and nephrotic syndrome
medcases00289 views 1645 days ago -
Watch Later
35 year old lady post renal transplant with diarrhea, weight loss and anasarca.
medcases00261 views 1710 days ago